39 巨噬细胞在肿瘤异质
肿瘤是异质的_非转移精原细胞癌的肿瘤相关巨噬细胞表型和分布
1. 结论(1)


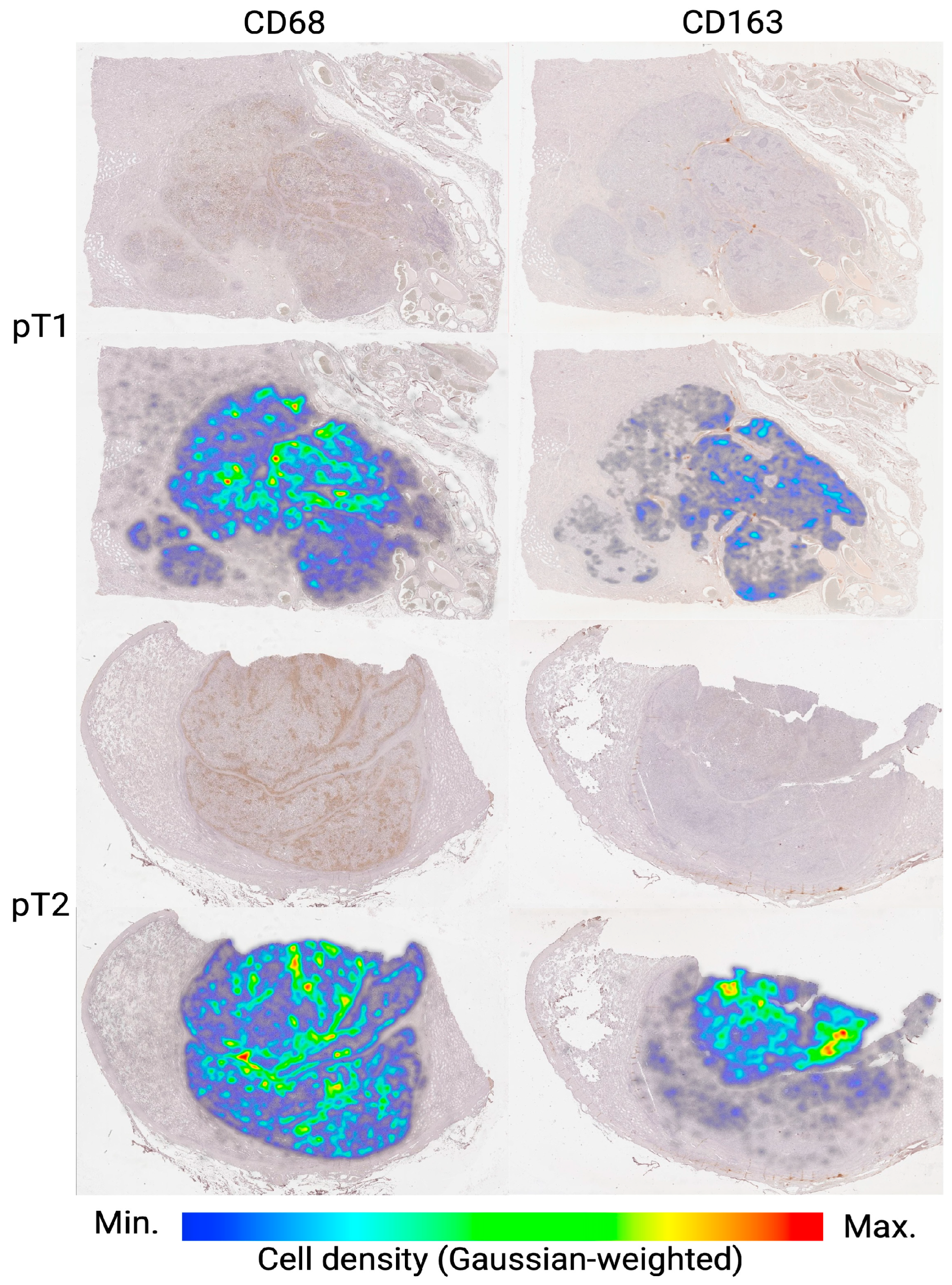
CD68+肿瘤相关巨噬细胞(TAMs)主要局限于肿瘤外围区域,而CD163+ TAMs则在肿瘤中心区域及外围血管周围形成弥漫性聚集。
笔者咋没看出来CD68+ TAMs的所描述的分布特征?😳
在pT1和pT2阶段之间,CD68+ TAMS密度没有显著统计学差异。
pT2肿瘤显示出CD163+ TAMs密度较高的趋势,提示随着肿瘤分期的进展,M2型极化可能增加。
2. 病例数
通过免疫组化方法分析了来自96名患者和21个正常睾丸组织的存档石蜡包埋肿瘤样本。(1)
3. 延伸一点_如何采样?
不同个体的同一种癌种异质;同一个体的不同肿瘤灶异质;同一肿瘤灶的不同区域异质(2)。
以该非转移精原细胞癌为例,CD163+ TAMs主要分布于肿瘤中心区域和外围血管周围,而没有均匀弥散分布于整个肿瘤组织,因此,CD163+ TAMs的分布为异质(1),可以想象其它细胞(包括肿瘤细胞)的分布亦可能异质。
如果(是通过某种微创手段)进行采样,那么所采的潜在小肿瘤样本,是否具有代表性?也许只能代表“树木”,而不是“森林”。
也许:
- 能用大肿瘤组织,那就用大肿瘤组织。
- 从大肿瘤组织的多个部位取样 –> 混合 –> 下游实验(比如肿瘤新抗原发现)。
References
1.
G. Demyashkin, V. Shchekin, D. Belokopytov, T. Borovaya, I. Zaborsky, K. Safiullin, O. Karyakin, A. Krasheninnikov, N. Vorobyev, P. Shegay, A. Kaprin, Phenotypic and spatial characterization of tumor-associated macrophages in non-metastatic seminoma: Association with local tumor progression. Medical Sciences 13 (2025).
2.
S. Pounraj, S. Chen, L. Ma, R. Mazzieri, R. Dolcetti, B. H. A. Rehm, Targeting tumor heterogeneity with neoantigen-based cancer vaccines. Cancer Research 84, 353–363 (2023).